
“以为只是一场普通的感冒发烧,没想到肾都快‘罢工’了。”53岁的李女士回想起数月前的那场大病,仍觉后怕。
一场发热后,李女士的肾功能急剧恶化,一度面临终身透析的困境。更为棘手的是,病因隐藏极深,是一种罕见的、死亡率极高的肾脏疾病——非典型溶血性尿毒综合征(aHUS)——于2018年被列入国家发布的《第一批罕见病目录》。
由于非典型溶血性尿毒综合征出现的症状极易混淆,且触发因素较多,诊断堪称“大海捞针”,常需肾穿刺来确诊,加上传统治疗手段有限,患者多需终身透析。直到近年来相关靶向药物问世,才为这类患者带来生存希望。
发热背后,肾脏拉响“最高警报”
2025年春季,李女士因“发热1周伴血肌酐升高”入住上海市东方医院肾内科。实际上,在7个月前的体检中,李女士的“肌酐”和“蛋白尿”相关数值已经出现异常(肌酐104μmol/L和蛋白尿3+),但她并未重视,为之后的肾功能下降埋下了隐患。
这一回,在发热后,李女士恶心呕吐、乏力、食欲下降等症状接踵而至。急诊检查结果更是令人震惊:肌酐飙升到443μmol/L(正常值约<85μmol/L),血红蛋白仅73g/L(正常值为110—150g/L),提示严重肾功能衰竭和贫血。
病情进展迅猛,李女士被迅速收治入院。追问病史后才知道,入院前一周,她已经感觉畏寒发热,并自行服用过治疗感冒的药物。
罕见病浮出水面,治疗面临两难
入院后,全面的检查结果指向了一个危急的综合征——严重的溶血性贫血、血小板减少、外周血涂片见到破碎红细胞,加上急性肾损伤,构成了典型的“血栓性微血管疾病三联征”。
于是,上海市东方医院肾内科团队面临关键诊断,是血栓性血小板减少性紫癜(TTP)、典型的溶血尿毒综合征(HUS),还是病因更为复杂的非典型溶血性尿毒综合征(aHUS)?
通过进一步检查,肾内科团队排除了前两者的可能。通过“补体系统异常”这一重要线索将治疗目标锁定在非典型溶血性尿毒综合征。
上海市东方医院肾内科主任刘娜解释,补体系统是人体免疫防线的重要组成部分,其中“补体C3”这一成分直接参与清除病原体及免疫复合物,而李女士的“补体C3”指标显著降低。因此,补体系统被异常激活极有可能是致病关键。
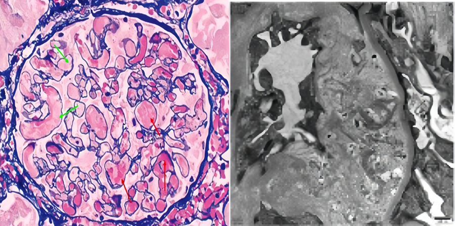
肾穿刺活检结果“一锤定音”,通过光学显微镜(光镜)和电子显微镜(电镜)再次明确诊断,均证实了肾内血栓性微血管疾病的特征性改变。李女士最终被明确诊断为非典型溶血性尿毒综合征。
TMA急性期典型的肾小球改变(左);肾脏TMA电镜表现(右)
诊断明确后,真正的考验才刚刚开始——这种罕见病进展迅猛,传统血浆置换治疗效果有限,李女士的肾功能已岌岌可危。争分夺秒之间,医疗团队急需启动更精准、更强效的治疗手段,为她抢回生命主动权。
精准狙击,建立双重防御
危急关头,东方医院肾内科团队迅速启动“三管齐下”的救治方案:首先,连续性血液净化紧急“上岗”,暂时代替肾脏排毒,稳住身体内环境;随后,双重血浆置换上阵,像“精准清道夫”一样,定向清除体内的致病抗体和炎症因子。
最为关键的是,针对非典型溶血性尿毒综合征(aHUS)发病的“总开关”,即补体系统失控,团队果断使用靶向药物依库珠单抗,该药物“精准拦截导弹”,直击致病核心,从根源保护血管与器官,阻断了病情进展。
治疗之路亦非坦途。其间,李女士的血小板一度波动,团队密切监测指标,动态调整以支持治疗。随着依库珠单抗规律输注、给药间隔逐渐延长,病情迎来曙光:李女士的血小板在稳步回升,溶血指标有了明显改善,肌酐水平开始持续下降,从峰值463μmol/L降至154μmol/L。在近期随访时,她的肌酐指标数值已稳定在129μmol/L,成功告别透析,人生重启。
双重血浆置换治疗
东方医院肾内科团队表示,非典型溶血性尿毒综合征(aHUS)作为一种凶险的罕见病,既往预后极差。李女士的成功救治,再一次印证了精准医学的成效——从早期诊断锁定病灶、肾脏替代治疗稳住生命体征,到使用靶向药直击疾病根源,加上双重血浆置换为后续治疗扫清障碍,最终患者肾功能得到显著持续的改善。
【相关科普】
非典型溶血性尿毒综合征(aHUS)是一种罕见的血栓性微血管疾病,其核心发病机制是体内免疫系统失控,会异常攻击自身血管,在临床上表现为微血管病性溶血性贫血、血小板减少和多器官缺血损伤,其中肾脏损伤尤为严重。
信钰证劵提示:文章来自网络,不代表本站观点。